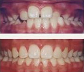
In mod obisnuit, insotit de o suprapunere, o muscatura adanca apare atunci cand incisivii superiori acopera prea mult dintii inferiori. Un aparat dentar fix sau mobil poate fi folosit pentru a corecta aceasta problema.
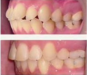
Ocluzia inversa poate fi cauzata de dinti nealiniati sau dimensiuni inegale ale arcadelor. Este important sa gasiti cauza corecta a ocluziei inverse, deoarece solutiile pot varia, de la utilizarea pur si simplu a aparatelor dentare sau a operatiilor asupra maxilarului.
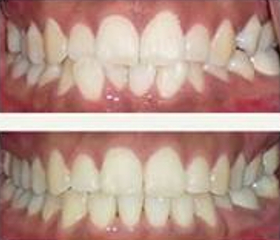
Cea mai frecventa problema ortodontica. Aceasta poate fi rezolvata prin extinderea arcadelor dentare, extragerea dintilor, reducerea interproximala (reducerea dintilor selectati la o cantitate mica de smalt) sau o combinatie a acestor metode.
O situatie foarte frecventa care apare la in mod obisnuit la dintii superiori . In mod obisnuit,sunt corectate prin expansiunea maxilarului superior, o procedura simpla la copii si adolescenti, una dificila la adulti mai in varsta. Se recomanda consultul unui medic ortodont pentru a rezolva aceasta problema.
Orice situatie in care dintii superiori si cei inferiori nu se intalnesc. Ocluziile deschise sunt, de obicei, cauzate de obiceiurile orale vicioase, cum ar fi sugerea degetului mare, utilizarea excesiva a suzetei sau impingerea limbii. Pot fi corectat cu bracketi, dar obiceiurile vicioase trebuie sa fie corectate cu aparatele dentare, in caz contrar ocluziunea deschisa va recidiva.
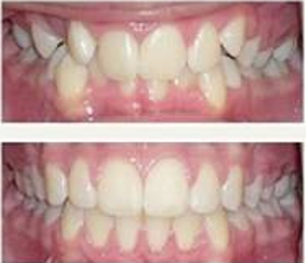
In unele situatii in care exista un numar prea mare de dinti pentru un anumit set de arcade, in loc sa se roteasca dintii, se vor deplasa inainte si se vor impinge buzele inainte cu ei. In mod obisnuit, pentru a remedia acest defect vor fi necesare extractii pentru a crea spatiu suficient.
Uneori dintii sunt prea mici pentru a umple intregul maxilar. Din fericire, aceasta este o situatie oarecum mai simpla pentru a fi corecta decat o inghesuire dentara. Alegerea corecta va oferi un zambet si un profil mult mai bun.
Ar putea fi greu sa observati la prima vedere, dar linia dintre dintii frontali din fata nu se potriveste cu linia dintre dintii inferiori din fata. Exista multe cauze pentru acest lucru. Desi este ideal pentru a corecta acest lucru, nu este intotdeauna 100% posibil fara a compromite tratamentul in alta parte.